
Research

Grigoriadis Cancer Bioinformatics
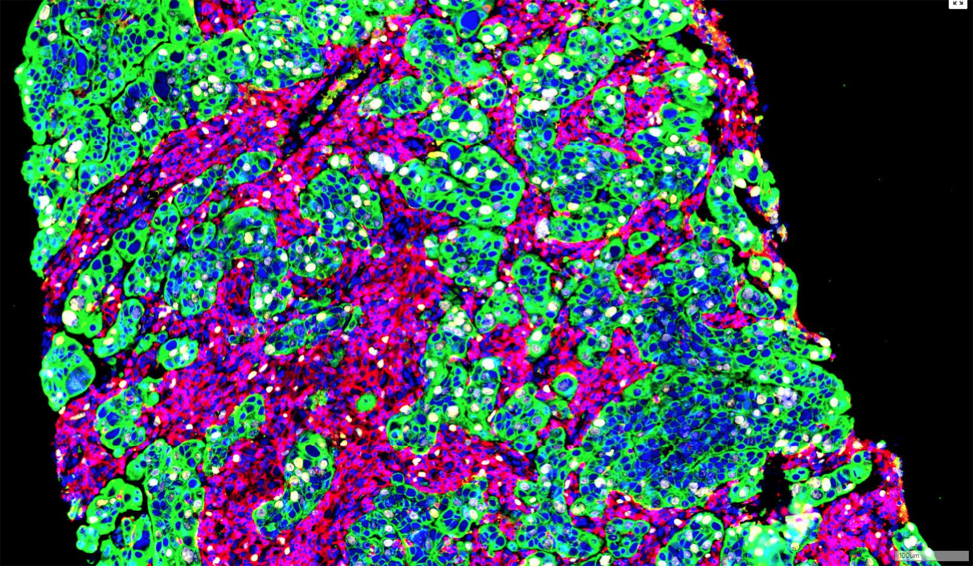
The Grigoriadis Cancer Bioinformatics group is exploring molecular determinants at the primary tumour site and in the draining lymph nodes, mainly in triple negative breast cancers.
Research

Grigoriadis Cancer Bioinformatics
The Grigoriadis Cancer Bioinformatics group is exploring molecular determinants at the primary tumour site and in the draining lymph nodes, mainly in triple negative breast cancers.